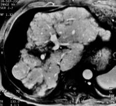
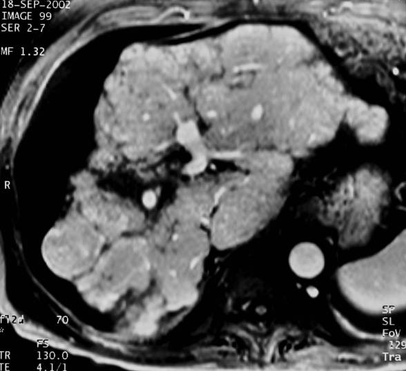
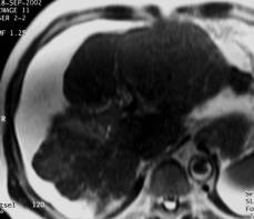
Patient suivi pour une cirrhose alcoolique. L'IRM est réalisée dans le cadre d'un bilan pré greffe.adressé pour bilan pré greffe.Vascularisation
|
|
|
Séquence pondérée T2, T1 Injection de gadolinium phase artérielle portale et tardive à 5 mn |
|
|
|
|
Vascularisation hétérogène du foie : nudule hypervasculaire à la phase artérielle (CHC), réhaussement locorégional à la phase portale ( vol vasculaire) et rehaussement tardif de la fibrose confluente (zone atrophique du segment V).
| Retour au texte | Sommaire |