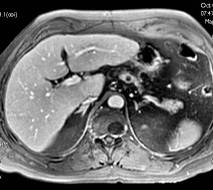
Recherche de métastases dans le bilan d'un adénocarcinome du colon. Pas de métastases visibles mais aspect de cirrhose hépatique, diagnostic confirmé ultérieurement par l'histologie
|
|
|
|
|
|
| Retour au texte | Sommaire |