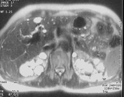
Ce patient est connu
pour être porteur d'une polykystose hépato-rénale.
En bili I.R.M. il existe un kyste du cholédoque associé à
des voie biliaires très irrégulières dans la région
péri hilaire. Les voies biliaires périphériques sont
considérées comme normales.
| Retour | Sommaire |