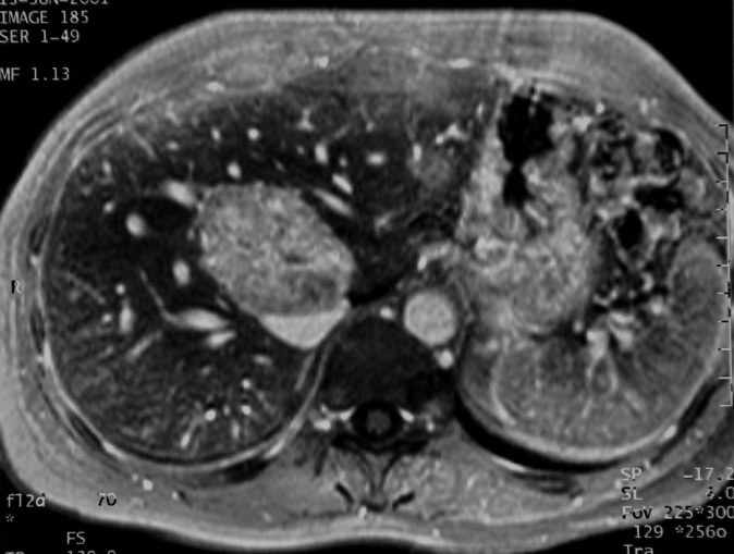
Une masse légèrement hopoéchogène mal limitée à été découverte de façon fortuite en échographie. Les gamma GT sont à 2 fois la normale.
T2 Haste T1 EG T1 EG
T1 Gado T1 EG Après endorem T1 EG Après Gado
La masse est située dans la convergence des veines sus hépatiques. Elle est nettement hyper T2 et légèrement hypo T1, un peu hétérogène. Elle se rehausse franchement après injection de gadolinium. Il n'y a pas de capsule visible. les contours sont finement bosselés. Cet aspect est assez typique d'une HNF télangectasique. Un examen avec Endorem a été réalisé. Bien qu'ellle fixe l'endorem dans les mémés proportion que le foie avoisinant (Le T1 a diminué de 25%dans le foie et la lésion) Nid-C7.jpgelle est beaucoup mieux visible ainsi que sa structure finement hétérogène. Aucune capsule n'est visible. Le diagnostic a été confirmé par biopsie.
Retour au texte Suite  Sommaire