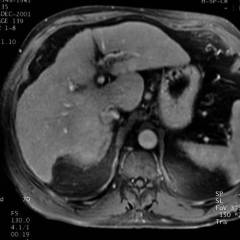
Cirrhose en poussée aigue. Le foie a un aspect globuleux. Après injection de gadolinium le rehaussement est hétérogène avec des plages à contours flous qui s'omogénéisent en quelques minutes. La fibrose est difficile à bien identifier avec précision.
 Retour au texte  Sommaire