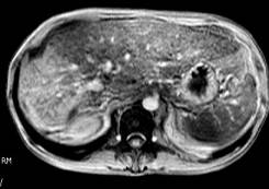
Bilan d'une cirrhose alcoolique après un épisode d'hépatite alcoolique aigue. Hypertrophie du lobe gauche, atrophie du lobe droit qui se rehausse de façon intense en phase artérielle. Persistance de plages interstitielles rehaussée sur les clichés à 10 mn.
 
 Retour au texte  Sommaire