Cancer du pancréas:
 
 
 
 

Cette femme de 78 ans est atteinte d'un cancer du pancréas révélé par un ictère nu.
Celui-ci est traité par la mise en place d'une prothèse intra-cholédocienne.
L'I.R.M. est demandée dans le cadre du bilan d'opérabilité.
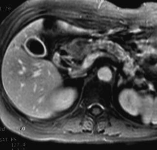
Découverte de plusieurs nodules de petite taille qui se rehaussent en couronne après injection de Gadolinium.
 
 

Séquences T1 avant et après Gadolinium

Bili IRM : Le nodule a un contenu liquidien très intense en T2 permettant de dire qu'il s'agit d'un hamartome kystique. Le diagnostic est confirmé à l'intervention.
 
Retour au texte Sommaire