



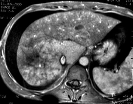
Au temps artériel
précoce le foie est très hétérogène
avec des plages où le rehaussement est franchement retardé.
Il y a une stagnation du produit de contraste dans le système porte.
Seuls les lobes caudé et une partie du segment VII sont bien vascularisés.
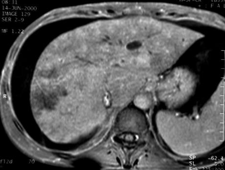
En pondération T2 les zones comprises dans la thrombose sont en
hypersignal.
L'étendue
de cette thrombose et la gravité des signes cliniques sont de mauvais
pronostiques. La patiente a été proposée pour une
greffe hépatique dans les semaines qui ont suivi.