

T1 anvant gadolinium
T1 gadolilium
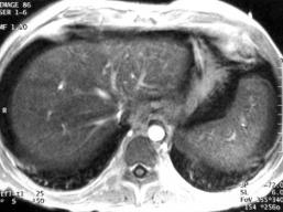
T1 gadolinium
Ce patient, traité pour une
leucémie, est adréssé pour dégradation de sa
fonction hépatique et l'appartion récente d'une ascite. L'échographie
ne montre pas de thrombose des veines sus hépatiques on suspecte
une maladie veinoocclusive.
Après injection
de produit de contraste il y a une trop belle image portale. Les branches
portales distales sont anormalement opacifiées ce qui est tout a
fait cohérent avec le diagnostique de maladie veino-occlusive. Par
ailleur le foie est en hyposignal T1 par surchage en fer lié au
traitement chimiothérapique.