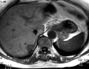
IRM T1 EG sans injection IRM T1 sans injection
IRM après gadolinium  IRM après gadolinium
La métastase prend le contraste en couronne mais celle-ci est assez régulière et surtout le contraste est moins intense que celui des vaisseaux. L'angiome est difficile à voir car les coupes sont artefactées par les mouvements cardiaques.
Précédent Suite  Sommaire