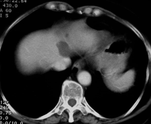
Patient opéré d'un adénocarcinome colique. En échographie présence de deux nodules suspects.
scanner 70 S après injection  Scanner 70 S après injection
IRM T2 Haste  IRM T2 Haste
Ce patient est porteur d'un angiome du lobe gauche et d'une métastase du lobe droit. Le signal des deux lésions est identique en scanner et Imagerie T2. La métastase a cependant une forme plus irrégulière qui doit attirer l'attention.
Retour au texte Suite  Sommaire