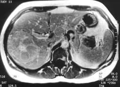
Patiente porteuse d'une HNF typique
Phase artérielle Phase tardive
étude dynamique
La lésion se rehausse franchement à la phase artérielle et redevient iso signal ensuite. La cicatrice est parfaitement visible et se rehausse progressivement . Les mesures de signal confirment parfaitement la dynamique du contraste.
Retour au texte Précédent  Sommaire