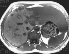
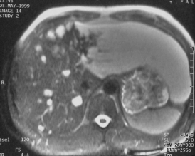
Ce patient est porteur d'angiomes multiples dont un angiome géant du lobe gauche
 
 
L'aspect est ici caractéristique, franchement hyper T2 et hypo T1 Prise de contraste en motte très denses. La totalité de l'angiome fini par se remplir sur les coupes très tardives.
Retour au texte  Sommaire