Injection de gadolinium
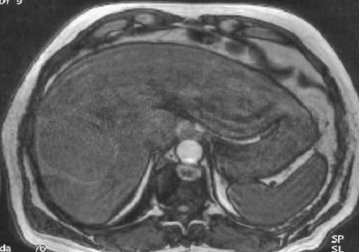
T1 EG T1 Gado Phase artérielle
T1 Gado phase tard ive T1 Gado phase tardive
La masse est franchement hypervasculaire à la phase artérielle. La capsule se rehausse plus tardivement ainsi que la zone de nécrose.
Retour au texte Précédent  Sommaire