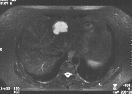
Ce patient est porteur d'un angiome typique connu, l'examen est réalisé pour rechercher d'éventuelles métastases hépatiques.
T1 EG T2 EPI
T2 Turbo spin écho T2 Inversion récupération
L'angiome est franchement hypo T1, et Hyper T2 sur les différentes séquences . Le fait que la lésion flash en turbo spin écho (TE 138) témoigne d'un contenu liquidien. Les contours polylobés sont très en faveur d'un angiome.
 Retour au texte Suite  Sommaire