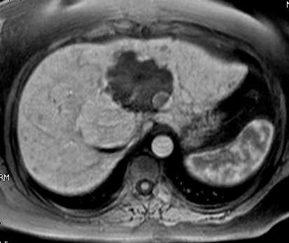
Imagerie T1 avec injection de Multihance 25 s, 1 mn, 2 mn.
 
Les angiomes ont un comportement habituel Hypo T1 se renforçant de façon très progréssive et intense (même densité que les vaisseaux). présence de nodules iso T1 franchement hypervasculaires au temps artériel et devenant isointense au temps portal.
 Précédent Suite  Sommaire