Cet homme de 24 ans est atteind d'une maladie de Behcet (HLA B51)..
Il est hospitalisé pour douleurs abdominales, fièvre, ascite
modéré. Le diagnostic évoqué est celui d'une
maladie périodique mais le patient s'agrave et l'ascite augmente
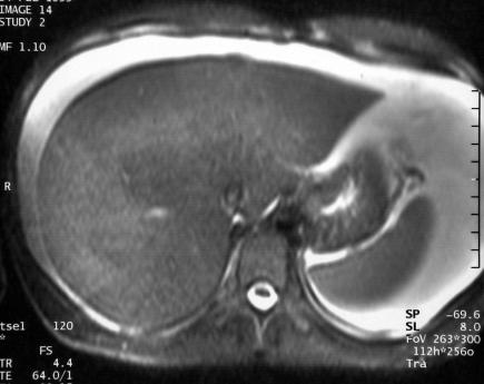
transa à 3*N Tp 0.41, déficit en protéine C. Une échographie
montre alors une thrombose des veines sus hépatiques et de la veine
cave ce qui permet le diagnostic de syndrome de Budd-Chiarri.
L'IRM est demandée pour faire le bilan.


T2
T1 avant gado
T1 anvant gado

T1 gado
T1 gado
T1 après gado tardif