

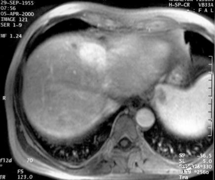
T1 avant gadolinium
T1 gadolinium précoce
T1 gadolinium tardif
Nudule très légèrement hyper T2, Iso T1, se renforçant
au temps artériel précose de 4 cm de diamètre les
contours sont flous. Cette lésion est interprétée
comme une anomalie vasculaire localisée à surveiller compte
tenu de sa taille.
Pondération T2